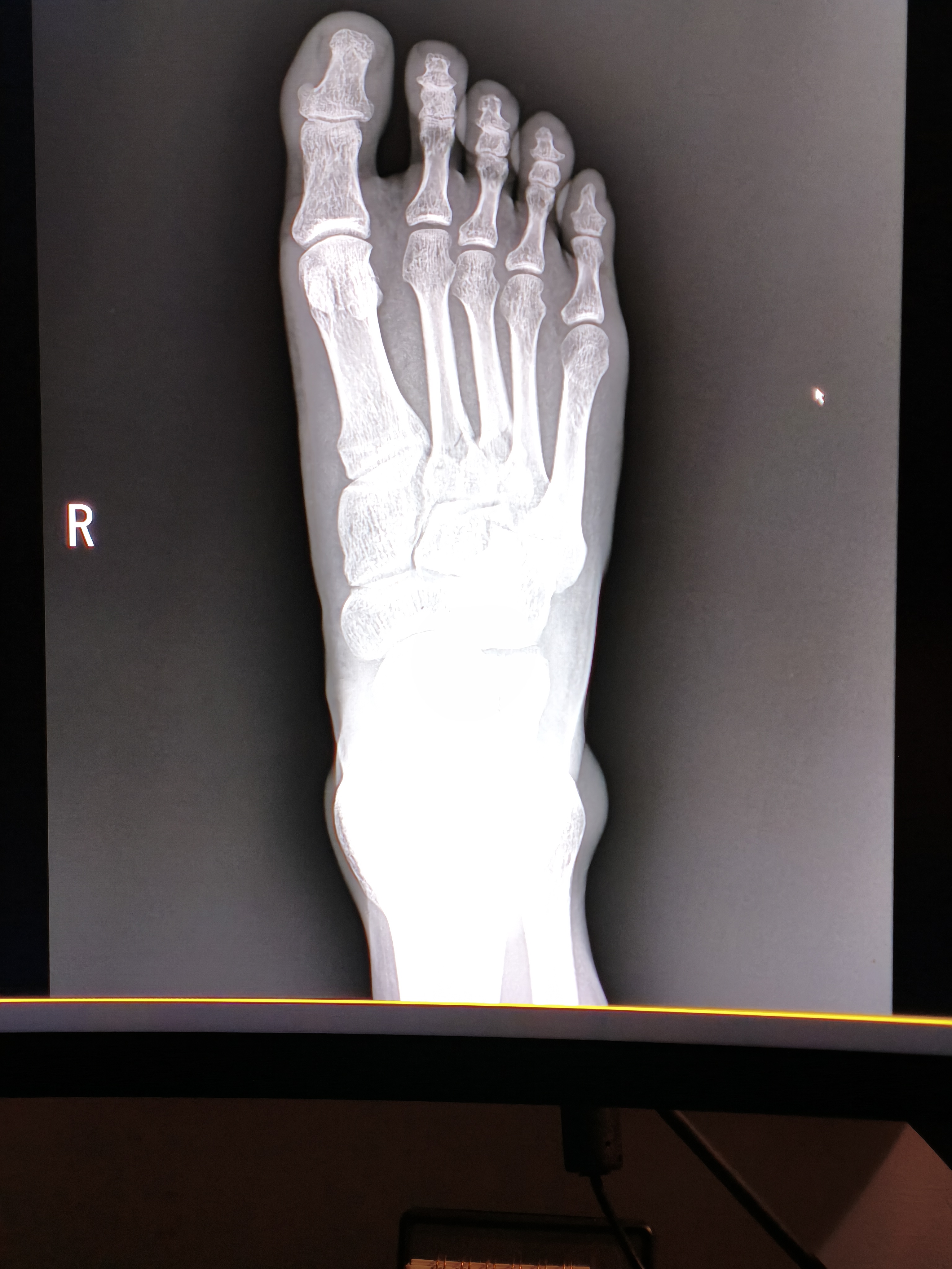
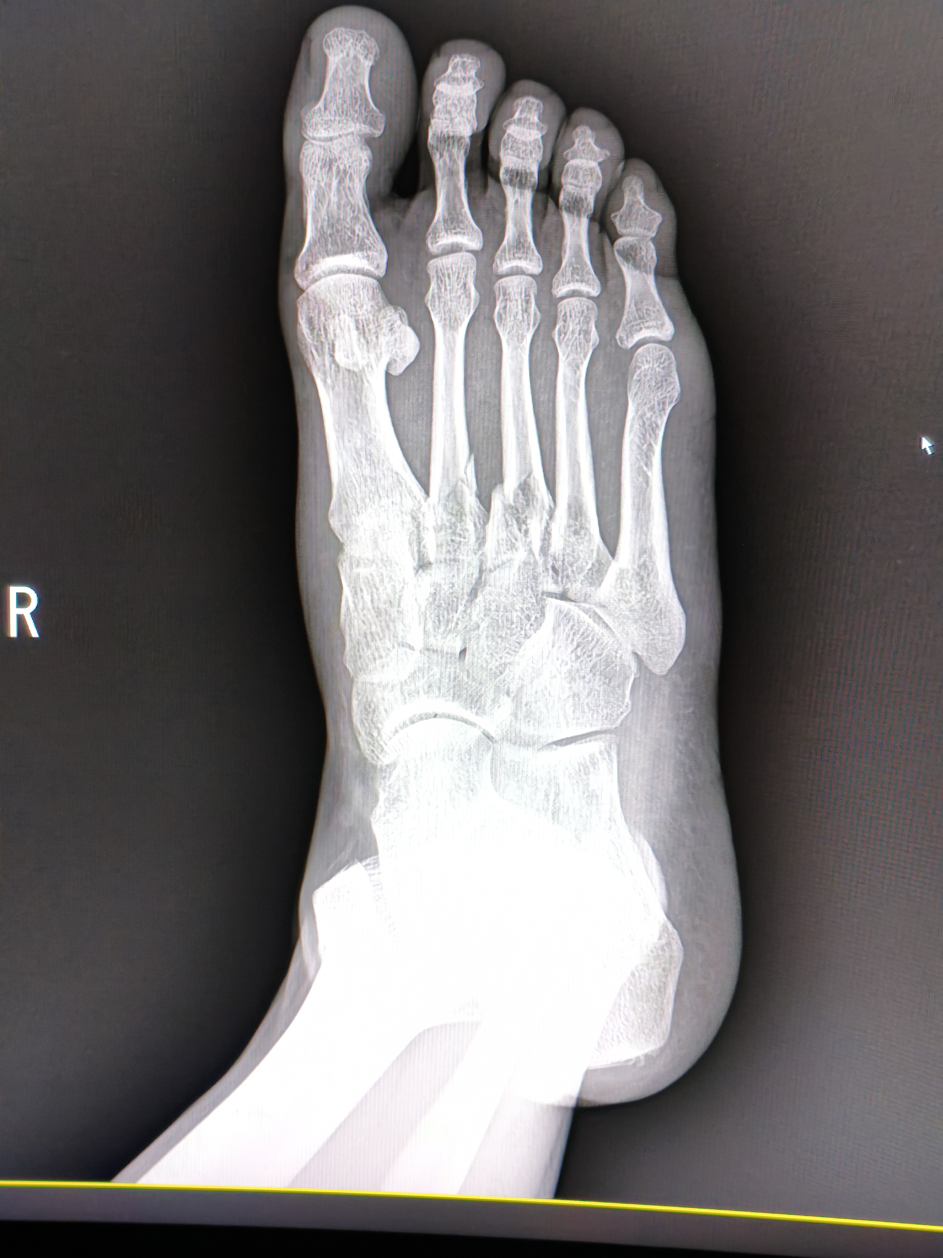
지난주 토요일 발등 골절 판정을 받아 두군데 진료받았는데 병원비가 너무 비싸서 수술을 미뤄도 될 상황인지 알고 싶습니다.
예후가 안좋은 부위라는데 수술비로 다 나가면 생활이 안되어서요.
전**
작성일 2026.03.17
조회수 18
최필형 의사
가정의학과 전문의
답변수 3543
건강지킴이
이화가정의원
실손보험들어놓으신것있으면 좋을텐데 걱정되는군요, 수술하시는게 맞습니다 아니면 평생 신경쓰이게 불편할가능성이 높거든요
김경남 의사
소아청소년과 전문의
답변수 50992
건강지킴이
가톨릭대학교 성빈센트병원
안녕하세요
발등 골절은 방치 시 보행 장애 등 후유증이 크므로,
긴급복지지원이나 재난적 의료비 제도를 통해 비용 부담을 줄여서라도
골든타임 내 수술받으시는 것이 나중을 위해 훨씬 안전합니다.
건승하세요
Q&A 다른 질문
-
Q
어제밤 등과 어깨에 난 뽀루지? 두드러기를 발견했는데 오늘 아침에는 팔뚝과 팔목까지 두개 정도 더 발생 했습니다 42개월 남아 입니다A
소아청소년과 진료가 필요해 보입닏다 -
Q
안녕하세요 양쪽눈이 부었는데 일주일넘게 가라앉지않아 질문드립니다 안과에서는 안과문제때문에 붓는증상은 아닌거같다하셨고 어디는 알레르기결막염이 살짝있다고하는데 제가 충혈이나 간지러움이 아예없거든요 눈꺼풀에 핏줄이 엄청선명해졌고 약간 눈꺼풀앞머리~가운데쪽 이쪽이 욱씬욱씬 거립니다 안과문제인지 피부 문제인지 너무헷갈립니다 ㅜㅜ 안과라고하기엔 눈가려움 충혈등 불편한게없음 다만 눈꺼풀 욱씬 피부문제라기엔 혈관진해진거밖에없음 눈꺼풀욱씬 어떤문제일까요 ㅜㅜ안약과 스테로이드주사 먹는약을 먹어도 소용이없어요 신장검사도 문제없었습니다 눈동자를 가릴만큼 부어요 ㅠㅠ양쪽다요A
안과 전문의 진료를 추천합니다 -
Q
두피 지루성 피부염, 아기에게 샴푸 써도 될까요?A
아이한테는 성인용 제품을 사용하지 않는 것이 좋습니다